Sedation Dentistry
Don't let fear keep you from the dentist. Sedation dentistry can help you relax while receiving the treatment you need.
At Advanced Dental Care in Valdosta, GA, we offer two forms of conscious sedation. Put your health first and get started today.
We Offer Two Options For Sedation Dentistry in Valdosta
Nitrous Oxide Sedation

Nitrous oxide, also known as "laughing gas," has been used in medicine and dentistry for more than a century. It is a clear, odorless gas that patients inhale through a mask placed over the nose. It will almost immediately begin to dull your senses.
When you breathe in nitrous oxide, you feel calm and relaxed but remain conscious and communicative. A benefit of nitrous oxide is that our dentists can adjust the dosage during your treatment, so you will continue to feel comfortable for the duration of your appointment.
The effects of nitrous oxide wear off rapidly after the mask is removed, so you should have no problem driving yourself home after your visit to either of our Valdosta offices.
Oral Conscious Sedation

Oral sedation is a sedative in pill form. Your dentist will write you a prescription for Ativan®. You will then take the recommended dose before your dental appointment. When it's time for your procedure, you should feel deeply relaxed.
Like nitrous oxide, oral sedation doesn’t make you unconscious. You will remain alert and responsive, but all feelings of anxiety and nervousness should disappear. This is a stronger form of sedation than nitrous oxide. In fact, many patients who choose oral sedation have little to no recollection of their dental procedure.
Oral sedatives can make you feel drowsy for several hours, so you will need to arrange for a friend or family member to transport you to and from your appointment.
Take the Stress Out of Dental Care Contact Us for a Consultation Today
The dentists of Advanced Dental Care in Valdosta, GA, have been voted "Best Dentist in South Georgia" for 11 years in a row. We do it all at our two convenient locations, from basic cleanings and exams to cosmetic dentistry, dentures, and dental implants. Patient comfort is always our number-one priority, which is why we're happy to offer sedation dentistry to Valdosta patients of all ages.
If you think sedation dentistry could be a game-changer for yourself or a family member, we encourage you to request a consultation at one of our offices today. During a consultation, we can explain your sedation options and review your medical and dental histories to determine if you are a strong candidate for this form of dentistry.

You can request a consultation right now by contacting us online or by calling your preferred location.
Valdosta Office — (229) 242-4441
Greystone Office — (229) 242-0063
"The best staff and dentist." 5-Star Reviews From Our Patients
I cannot express how caring the staff and dentist were up me. They made me so comfortable during the procedure.
View on Google
The best staff and dentist. They always go out of their way to make sure their patients are comfortable and well taken care off. My family loves Lauren. She takes such good care of all of us.
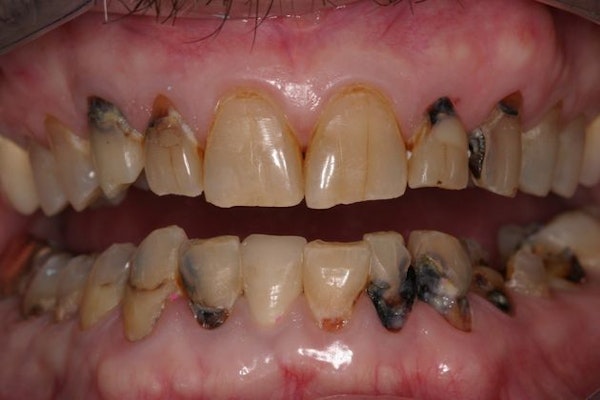
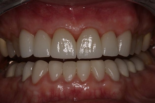
View on GoogleSedation Dentistry Helps Patients Achieve Gorgeous Smile Transformations
If you've neglected essential dental work out of fear and anxiety, you may have multiple dental concerns you'll want to fix. Rather than neglecting the look and health of your smile, consider the benefits of sedation. Sedation dentistry makes it possible for patients to tackle their dental concerns without worry.
Who Can Benefit From Sedation?
Nervous Patients
At Advanced Dental Care in Valdosta, GA, we understand that many patients struggle with some degree of dental anxiety or dental phobia. If you have a fear of dentists, you shouldn't feel embarrassed. Sedation dentistry can help you overcome your misgivings and experience the health and cosmetic benefits of professional dentistry.
Patients Who Have Trouble Sitting Still
Some patients find it difficult to sit still in a dental chair, especially patients with ADHD, arthritis, or special needs. Dental sedation can help these patients feel comfortable for the duration of their treatment.
Patients With a Sensitive Gag Reflex
Some patients naturally have a more sensitive gag reflex, which can make it difficult to endure any kind of dental procedure. The sedation methods available at our Valdosta practice can dull your gag reflex, enabling our dentists to complete treatment as quickly and efficiently as possible.
Patients Sitting Through Long Procedures
We can make sedation available during any procedure, but it's most often utilized during more involved treatments like dental implant surgery. Nitrous oxide or oral conscious sedation can help you sit calmly through longer procedures, which in turn helps our dentists perform the best work possible.
Does Sedation Help With Pain Management?
/
While sedation helps calm your mind and rid you of anxiety, it does not numb pain on its own. We'll use local anesthesia in combination with your choice of sedation to numb the area and make your treatment virtually painless. Local anesthesia will have no effect on your mental state.
Is Sedation Dentistry Right For You? Request a Consultation to Find Out
If you have dental anxiety, you're not alone. According to the National Institutes of Health, about 10 to 20% of American adults feel some fear about visiting the dentist. Our dentists can help you find the sedation method that works best for you so you can calmly receive any restorative or cosmetic dentistry treatment you need.
Contact us online or call our dental practice to request a consultation at your preferred location:
Valdosta Office — (229) 242-4441
Greystone Office — (229) 242-0063
"I wouldn't go anywhere else." Patients Have Great Things to Say About Our Valdosta Practice
I have been a patient at Advance care for 25 years. The care I have gotten at Advance Dental is OUTSTANDING, I wouldn't go anywhere else.
View on Google
This dental office is the best place!!! Staff is amazing. Drs are caring and professional. Office staff handle everything!! It’s really a great experience going to the dentist!
View on GoogleWhat Does Sedation Dentistry Cost?
Choosing sedation dentistry will usually add $80 to $150 to your overall treatment costs. Unfortunately, most dental insurance plans don't cover sedation-related expenses. If the cost of dentistry is a concern for your family, we can help with various forms of financing. CareCredit® or Cherry financing can help you break the cost of your treatment into manageable monthly payments.
Sedation Dentistry FAQs
Is sedation dentistry safe?
When overseen by a trained dentist, sedation dentistry is completely safe. Our doctors will ensure that you receive the right amount of sedation, and they will monitor you closely throughout your dental appointment to make sure you don't experience any adverse effects.
Can I be sedated for any procedure?
Yes! While sedation is often recommended for more involved procedures, especially anxious patients can choose to be sedated for any kind of appointment, even a basic dental cleaning. We can offer sedation to Valdosta patients visiting us for denture fittings, cosmetic dentistry, and more.
How long do the effects of sedation last?
Nitrous oxide wears off quickly once the mask is removed, and most patients can drive themselves home. The effects of oral conscious sedation, however, can last for a few hours after the dental appointment is complete. That's why patients who choose oral sedatives need to arrange for someone else to drive them to and from their appointment.
We Pair Sedation With a Warm, Comfortable Environment
Beyond the benefits sedation offers to help you relax during your appointment, we have also designed our offices to foster patient comfort and calm the nerves that can accompany a visit to the dentist. Both our Greystone Way and Wildwood Plantation Drive dental offices are full of large windows to let in natural light and remove you from that stuffy, clinical feel that dental offices so often have.

Our commitment to patient comfort goes beyond our use of sedation. Both of our Valdosta, GA, offices feature welcoming, non-intimidating atmospheres that put nervous patients at ease. Whether you visit us for cosmetic dentistry, dentures, dental implants, or any other service, you'll feel valued at Advanced Dental Care.
"The entire staff were warm and friendly." More 5-Star Reviews
Dr Woodward is Amazing I have be going to him for over 25 years and trust him completely!! Makes you feel comfortable and lets you know what is fixing to be done with your treatment no surprise!
View on Google
This was my first appointment with Advanced Dental Care. Dr. Moorman and the entire staff were warm and friendly. Dr. Moorman is very knowledgeable and professional, and he was patient with me in explaining my treatment process. I am looking forward to a lasting relationship with Advanced Dental Care.
View on Google



