Dental Crowns

When you have a tooth that is damaged or decayed, it should be treated and repaired as soon as possible to avoid serious oral health issues.

At Advanced Dental Care, our doctors provide lifelike crowns that can blend seamlessly with your smile while strengthening your teeth.

If you’ve been told you need a dental crown, or if you suspect you need one, contact either of our locations in Valdosta, GA, today.

What Are Dental Crowns?

A dental crown is a tooth-shaped cap that covers a natural tooth from the gumline up. Crowns are used in both restorative and cosmetic dentistry. They are often used to protect teeth after root canal treatment, but they can also be used to cover stained or misshapen teeth and achieve an aesthetic upgrade.

Crowns are typically recommended if a tooth is significantly damaged, but not necessarily in need of extraction. Preservation of natural tissue is always the priority in dentistry, and a crown is a solution that allows you to keep a compromised tooth that would otherwise be unable to contribute to the balance and function of your bite. 

At Advanced Dental Care in Valdosta, GA, we work closely with a local dental lab that produces crowns made of porcelain, gold, or zirconia.

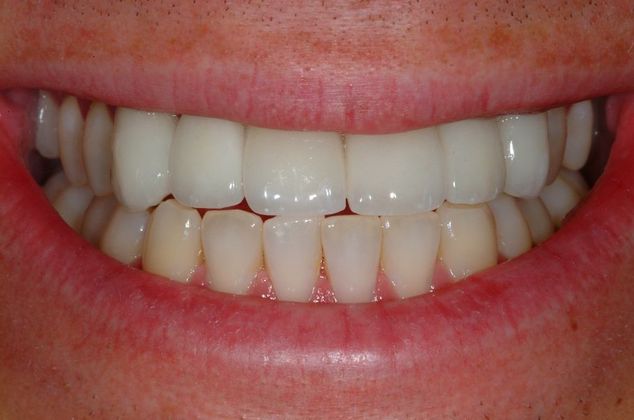
Before and After Dental Crowns

Before Dental Crowns
Before
After Dental Crowns
After
Our patient had damaged, discolored teeth. Our dentists designed a smile makeover that included crowns to totally transform his smile.

Find Relief Soon at Advanced Dental Care

Like many dental patients, you may be tired of the stress that goes along with a damaged or decayed tooth. However, you won't have to wait much longer for relief at Advanced Dental Care. Before we place your permanent crown, we will craft a temporary crown to cover and protect your tooth from further damage. That way, you can eat, talk, and smile confidently on the same day as your first appointment.

Then, when you return to our dentistry practice, we will have a custom crown made from natural-looking porcelain, gold, or zirconia ready for placement. If you're ready to put yourself — and your oral health — first, contact our Valdosta dentistry practice online or call our location nearest you:

Wildwood Plantation Drive: (229) 242-4441

Greystone Way: (229) 242-0063

Valdosta Patients Trust Advanced Dental Care

1

Lisa Page

Valdosta, GA

2024

Google logo

I love my dental hygienist Jen and my dentist! Both are so friendly and do a wonderful job! If you’re looking for a great dentist make your appointment you won’t be disappointed I promise! ADC is the best around and if your like me and are very particular about cleanliness you will be completely satisfied with a very nice clean office

View on Google
1

Jim Pace

Valdosta, GA

2024

Google logo

I am nearly 70 yo and have had many dentists in many different states over the years. Dr. Woodward is the best of them all! No lie. And his staff are equally exceptional. Highly recommend.

View on Google

The Best Dentist in South Georgia Choose Us for Dental Crowns

There's a reason why the dentists of Advanced Dental Care at our Valdosta offices have been voted "Best Dentist in South Georgia" for 14 years in a row. We utilize the latest techniques in modern dentistry and consistently exceed the expectations of our patients.

When it comes to dental crowns, we work with local labs and use advanced scanning technology to produce crowns that fit perfectly and look completely natural. If you have a tooth that requires a crown, or if you have an existing crown that has broken or come off the tooth, our dentists can get your smile back in shape.

You can request a consultation at either of our locations in Valdosta, GA, by contacting us online or calling the office that is most convenient for you.

ADC 1 at Wild Plantation Drive

(229) 242-4441

ADC 2 at Greystone Way:

(229) 242-0063

"I was very impressed."

1

Patrick Hill

Valdosta, GA

2024

Google logo

Dr Woodward removed an old crown and made a temporary for me today. His assistant, Alexandra, was outstanding. She was kind and engaging. She talked me through everything that was going on and what to expect. Overall it was a 5star visit

View on Google
1

Manuel Fernandez

Valdosta, GA

2024

Google logo

Great dental office. Very professional front office, Dr, and hygienist. I was very impressed with the top of the line technology they use. I’m very pleased with my visit and I would definitely recommend this dental office based on my experience. I have another appointment to get a crown done.

View on Google

What Do Dental Crowns Cost?

At Advanced Dental Care in Valdosta, GA, crowns cost an average of $1,334. A variety of factors can affect the ultimate cost of your dental treatment, such as whether you require a root canal and whether you choose a crown made of porcelain, zirconia, or gold. When you visit us for a consultation, we will provide a quote.

Dental insurance usually contributes to treating teeth with dental crowns. We accept all major dental insurances and we can file claims on your behalf to maximize your coverage. To confirm whether we accept your insurance, contact us today.

For any costs not covered by insurance, we also work with CareCredit® and Cherry Financing to offer flexible financing. With financing, qualifying patients can take advantage of low-interest or no-interest monthly payment plans.

We also offer a courtesy discount on payments paid in full for treatments over $1,000.

Dental Crowns: Step-by-Step

If dental appointments make you nervous, ask us about sedation dentistry.
If dental appointments make you nervous, ask us about sedation dentistry.

Tooth Preparation

Our dentists will first treat your tooth by removing decayed tissue or performing a root canal. Then, they will carefully reshape your tooth by removing small amounts of enamel.

Digital Scan

Our Valdosta offices feature iTero® digital scanning technology, so you won't have to bite into uncomfortable dental putty. Instead, our dentists will create digital models of your bite, including the tooth requiring treatment. We will send these scans to our partners at a local dental lab, where your final crown will be manufactured.

Temporary Crown

After capturing the images of your teeth, our doctors will place a temporary crown over your treated tooth. We will provide detailed instructions on how to live with the temporary while you wait for your permanent crown to be completed.

Crown Fabrication

Skilled artisans at a local dental lab will craft your permanent crown based on the digital scans of your teeth. You will choose whether you want your crown to be made of porcelain, zirconia, or gold. This process usually takes about four weeks.

Permanent Crown

Once your crown has been created, you will return to our office. Our dentists will remove the temporary crown and cement the permanent crown in place. You will leave this appointment with a functional bite and a natural-looking smile.

See How Crowns Are Placed

First, our dentists will reshape your tooth. Then, they will place your crown over the tooth.

How to Take Care of Your New Custom Crown

​Dental crowns can last as long as 10 years with the proper care. Here's how to maximize the longevity of your crown:

Brush Your Teeth 

Good oral hygiene can prevent cavities and further tooth damage. As you brush each morning and night, remember to gently brush your gums and tongue too.

Floss Regularly

Flossing improves your gum health. It will also help ensure that your crown stays free of plaque and tartar build-up.

Wear a Mouthguard

Grinding your teeth in your sleep can cause damage to your teeth or crown, along with headaches and jaw pain. We offer TMJ treatment, like mouthguards, to prevent this problem. 

Avoid Certain Foods

Hard food, like nuts and toffee, and sticky foods, like gum and caramel, can damage your crown or pull it out of place completely. Try to avoid these foods if possible or bite into and chew them with teeth that haven't been treated with crowns.

Attend Dental Checkups

After we place your crown, we encourage you to come back for regular cleanings so that your smile stays healthy and beautiful. We will also let you know when it's time to replace your crown.

Implant-Supported Crowns

In addition to traditional dental crowns, we also offer implant-supported crowns at our offices in Valdosta, GA. Implant-supported crowns are prosthetic teeth that attach to dental implants, filling the gaps in your smile after tooth loss.

Replacing a tooth with a dental implant and implant-supported crown is a longer process than most other dental treatments, but it's worth the investment because implants fuse with the jawbone and replace lost tooth roots. This means that implant-supported restorations provide unbeatable stability while providing the stimulation needed to maintain a strong jawbone.

If you have any questions about implant dentistry, we invite you to request a consultation with our dentists today.

Implant Crowns
Single crowns are the most common restorative procedure with 2.3 million implant-supported crowns made each year. According to the American College of Prosthodontists

"Best dental care around!"

1

MICHELE KIRKLAND

Valdosta, GA

2024

Google logo

Very kind and courteous staff- everyone smiling and so welcoming! I am very impressed with Dr Hancock- as she was not only kind-easy to talk to, but very informative!

View on Google
1

Madison Garcia

Greystone Way, GA

2024

Google logo

Best dental care around! Dr. Gray and his team are all so kind and really do care. So thankful to have found this group!!

View on Google

Contact Us

Fields With Are Required
You can also call us at (229) 242-4441. This site is protected by reCAPTCHA and the Google Privacy Policy and Terms of Service apply.

1,700+ five-star 
Google reviews

Elfsight

Rate, Review & Explore

Social Accounts Sprite