
Why Implants Are the Preferred Solution For Missing Teeth
Preserve Your Jawbone
A dental implant is the only tooth replacement method that also replaces the tooth root and stimulates bone growth in the jaw. If you are missing several teeth, your jawbone can shrink and cause you to lose more teeth. As the jawbone gets smaller, it can also make you look years older than you are. In contrast, dental implants encourage bone growth in the jaw.
Protect Nearby Teeth
When traditional dental bridges are used to replace missing teeth, dental crowns on nearby teeth are used to hold the bridge in place. Unfortunately, this means those healthy teeth need to be altered to accept the crowns. This can weaken the crowned teeth and make them more susceptible to damage in the future. Implant-supported restorations stand on their own.
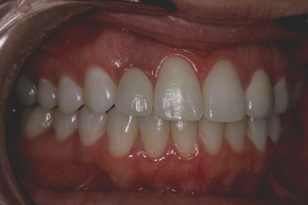
Produce Natural Looking Results
The dentists at our Valdosta dental office custom craft your restoration using high-quality dental materials that are durable and mimic the natural qualities of tooth enamel. Our tooth restorations are so lifelike that even up close they look like natural teeth.
What Is a Dental Implant?
A dental implant is a small post, usually made out of biocompatible titanium, that is placed in the jawbone where it acts as the root of the lost tooth. The implant fuses with the bone and provides a solid foundation for replacement teeth.
Once the implant is securely in place, the dentists at Advanced Dental Care in Valdosta, GA, can attach a beautiful, natural-looking tooth using a connector piece called an abutment.
Dental implants are modern dentistry's versatile solution to the problem of missing teeth. They can be used alone or with other implants to support an individual tooth, a dental bridge, or even a full denture.
"I can’t thank them enough." Real Reviews From Our Valdosta, GA, Dentistry Patients
Even though they were closed for Christmas, they brought a dentist in To fix my crown that had fallen out. That’s why you have to love, Advance Dental Care!
View on GoogleAbsolutely the most professional dental group I’ve encountered. Annie Is amazing!!! I can’t thank them enough.
View on GoogleAre Dental Implants Right for Me? Call for a Consultation
The best way to find out if dental implants are the right method to restore your missing teeth is to request a consultation with the dentists at Advanced Dental Care in Valdosta, GA. Dental implants are the preferred solution, but there are important requirements you should meet in order for your implants to be successful.
Drs. Ashley Moorman, J. Barclay Woodward, or Hardy Gray can assess your mouth to determine if dental implants, or another tooth restoration method, is the best method to give you back your smile and restore your bite.
(229) 242-4441
"Advanced Dental is terrific."
Friendly and made you feel like they cared about you and what was going on with you.
View on GoogleAdvanced dental is terrific. My hygienist communicated well and she was very efficient. Dr Hancock was thorough and very attentive. Highly recommend them
View on GoogleDo You Lack the Bone Density Needed for an Implant-Supported Denture?
Bone density is required to hold a dental implant and the restoration attached to it. Unfortunately, many people missing teeth for a long time have lost a significant amount of bone and do not qualify for implants.
The dentists at Advanced Dental Care in Valdosta, GA, may have a solution for you. A newer technique, the All-on-4 method, has proven successful for a select group of patients suffering bone loss.
In this procedure, four specially designed implants are strategically placed in areas of higher bone density, which creates the secure foundation needed for a denture. Patients are happy to discover that these implants can be placed and a denture attached all on the same day.

"They changed my whole mindset on dentistry."
Great folks and great services. The dentist was awesome and definitely treated me as an individual. Listened to my concerns, answered all my questions and customized my treatment plan according to my circumstances.
View on GoogleI love ADC Greystone! Everyone there makes me smile! I hated going to the dentist before I started with them and they changed my whole mindset on dentistry.
View on GoogleWe Make Implants Affordable
Fear of cost is a barrier that can prevent many patients from seeking care, which is why Advanced Dental Care offers financing options and special discounts. After all, you deserve to look and feel your best.
If you need a dental implant or dentures, we will patiently explain all the payment options to you, including credit cards, CareCredit®, and Cherry Financing. We also provide a discount if patients pay upfront for dental procedures costing over $1,000.
Ready to get started?
Contact one of our two Valdosta offices
or call: (229) 242-4441

Replacing the Entire Tooth With a Dental Implant and a Crown
A dental implant post is surgically inserted into the jawbone. An abutment is then attached to the implant posts.
This abutment allows your dentist to secure a custom restoration to the post. An implant-supported restoration
will look, feel, and function like natural teeth.
Dental Implants Treatment Timeline
While each patient's case is unique, in general, the dental implant procedure typically breaks down into several distinct steps:
We offer a variety of sedation methods that can help patients relax while they receive care.
Can We Answer Any Questions?
Dental Implants Provide Natural-Looking Results


Frequently Asked Questions About Dental Implants
Q. Does dental implant placement hurt?
A. No. Before your implant procedure begins, your dentist will thoroughly numb the area first. Our Georgia dental offices offer sedation dentistry options, including nitrous oxide and oral conscious sedation, to ensure you are completely comfortable during your procedure.
Q. How long do dental implants last?
A. Dental implants are made of durable titanium and are designed to last a lifetime. However, it is important to remember that your dental crown, bridge, or denture will wear over time and will eventually need to be replaced. With proper care and maintenance, your restoration can last for up to 15 years or more.
Q. Are dental implants covered by dental insurance?
A. Dental implants are typically not covered by dental insurance. Your insurance may cover other aspects of your implant treatment, such as the restoration. We will verify your coverage once your dentist finalizes your treatment plan so you can plan and budget for your treatment. We offer financing options and discounts for procedures paid in full over $1,000.
Q. How much will my dental implant treatment cost?
A. It is impossible to give an accurate quote without an initial consultation. Implant treatment is customized to your unique needs and will vary based on factors such as the number of dental implants you need, the type of restoration required, and if you need preparatory treatment such as tooth extraction or bone grafting. Your dentist will craft a custom treatment plan, and we can then provide you with an accurate quote. If you have dental insurance, we will verify your coverage to determine your out-of-pocket costs.
Have more questions about dental implants?
Hear Why Patients Love Our Georgia Dental Practice
Everyone was kind and very efficient. Made my time at the dentist more enjoyable.
View on GoogleI love ADC and the whole team! Thank you Ashley for always making my cleanings a good time!!
View on Google






